Российские ученые разрабатывают приложение, способное выявить рак мозга на ранней стадии

16.06.2025

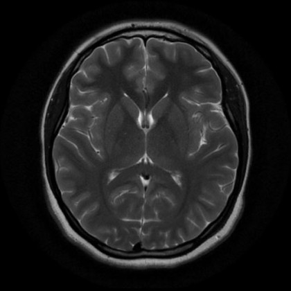
Специалисты из МГМУ имени Сеченова создали приложение, которое способно выявлять на МРТ-снимках опухоли головного мозга. Кроме того, искусственный интеллект способен определить локализацию и тип новообразования.

Одна из целей амбициозного проекта – снизить нагрузку на врачей-рентгенологов и повысить точность и эффективность ранней диагностики.

На данный момент точность определения – 97,1%.

Приложение имеет открытый код, благодаря чему возможно совместна работа различных специалистов.  

На данный момент создан прототип приложения и серверная версия с готовым интерфейсом. Один из следующих шагов – привлечение данных из российских рентгенологических лабораторий для повышения точности работы.

Специальные условия сотрудничества
Государственные медицинские учреждения
Поликлиники и больницы
Профильные медицинские центры
Онкоцентры, травматологии, диагностические центры
Государственные и частные организации с медкабинетом
Заводы, НИИ, военные части
Сервисы медтехники
Ремонтные и обслуживающие организации
Торговые компании
Магазины медтехники, оптовые базы
Образовательные учреждения
Детские сады, школы и ВУЗы
Частные медицинские учреждения
Медицинские центры и медклиники
Юридические лица
Частные организации с медкабинетом
Производства, офисы, фабрики