Новости

Новостей: 5 шт.
01.12.2025
Новый этап изучения долговременной памяти
Исследователи существенно продвинулись в понимании того, как формируется долговременная память. В Лаборатории нейродинамики и когнитивных процессов провели эксперимент, который поставил под сомнение прежнюю упрощённую концепцию. Ранее предполагалось, что переход памяти из кратковременного в долговременное хранилище происходит по принципу «вкл/выкл», однако новые данные выявили куда более сложную картину.Оказалось, что за сохранение воспоминаний отвечает многоуровневая система молекулярных
16.06.2025
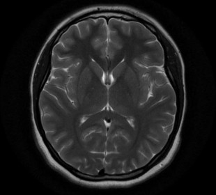
Российские ученые разрабатывают приложение, способное выявить рак мозга на ранней стадии
Специалисты из МГМУ имени Сеченова создали приложение, которое способно выявлять на МРТ-снимках опухоли головного мозга. Кроме того, искусственный интеллект способен определить локализацию и тип новообразования. Одна из целей амбициозного проекта – снизить нагрузку на врачей-рентгенологов и повысить точность и эффективность ранней диагностики. На данный момент точность определения – 97,1%.Приложение имеет открытый код, благодаря чему возможно совместна работа различных специалистов.  
15.06.2025
Отечественные разработчики создали революционный коленный модуль для протезирования
Отечественные разработчики создали революционный коленный модуль для протезированияСпециалисты Центра инноваций в травматологии и ортопедии (ЦИТО), входящего в структуру государственной корпорации Ростех, достигли значительного успеха в области протезирования. При содействии Агентства по технологическому развитию был успешно завершён проект по созданию отечественного коленного модуля, оснащённого инновационной системой ручного управления.Технические характеристики и преимуществаРазработанное уст
14.06.2025
Новый метод диагностики рака гортани с помощью искусственного интеллекта
Прорыв в медицинской диагностике совершили исследователи из Орегонского университета здравоохранения и науки (OHSU) совместно с коллегами из Портлендского государственного университета. Их разработка позволяет обнаруживать начальные признаки рака гортани путём анализа голосовых характеристик человека. Результаты исследования были опубликованы в авторитетном журнале Frontiers in Digital Health.Уникальное открытие заключается в том, что специалисты обнаружили: любые поражения голосовых с
13.06.2025
В Российские больницы внедряют цифровые кольпоскопы
Важный шаг в развитии онкодиагностики сделан в Самарской области: СамГМУ Минздрава России и региональное министерство здравоохранения заключили соглашение о внедрении инновационной медицинской техники. В рамках сотрудничества восемь медучреждений области получат современные цифровые кольпоскопы, созданные учёными университета.Современные цифровые кольпоскопы призваны значительно улучшить качество ранней диагностики рака шейки матки, особенно в отдалённых районах региона. Портативный кольпос
Специальные условия сотрудничества
Государственные медицинские учреждения
Поликлиники и больницы
Профильные медицинские центры
Онкоцентры, травматологии, диагностические центры
Государственные и частные организации с медкабинетом
Заводы, НИИ, военные части
Сервисы медтехники
Ремонтные и обслуживающие организации
Торговые компании
Магазины медтехники, оптовые базы
Образовательные учреждения
Детские сады, школы и ВУЗы
Частные медицинские учреждения
Медицинские центры и медклиники
Юридические лица
Частные организации с медкабинетом
Производства, офисы, фабрики